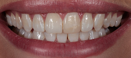
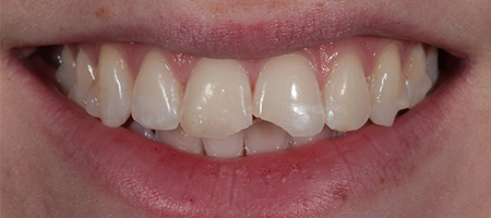
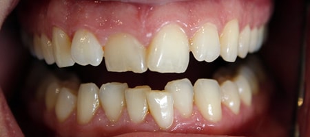
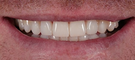
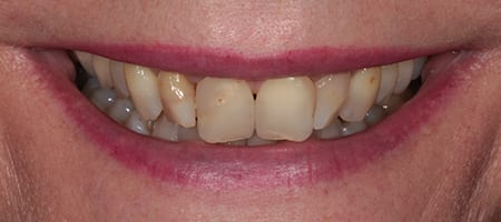
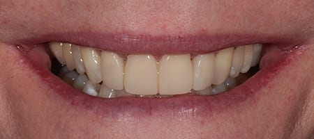
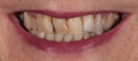
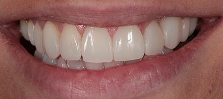
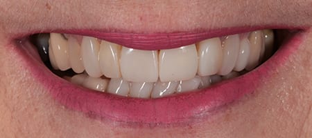
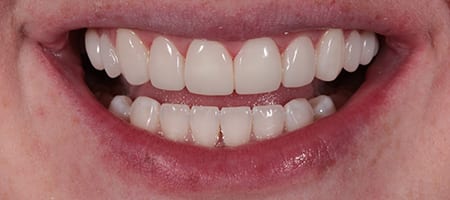
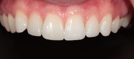
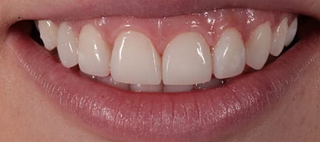
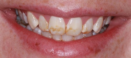
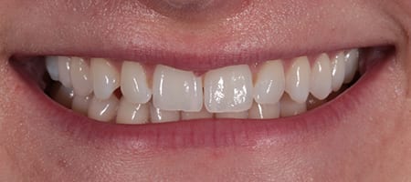
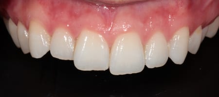
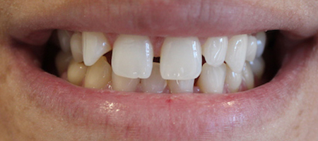
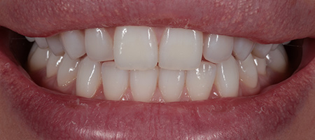
A picture paints a thousand words. Below are examples of smile makeovers using cosmetic bonding
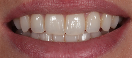
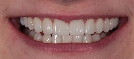
Hollywood Composite Bonding
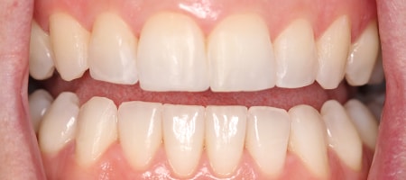
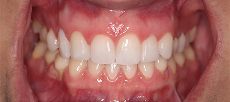
Natural Composite BondingÂ
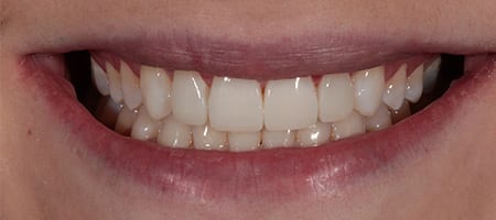
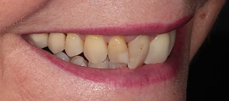
Cosmetic Bonding
















































































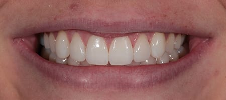
A picture paints a thousand words. Below are examples of smile makeovers using cosmetic bonding















































































