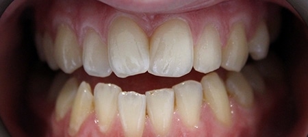
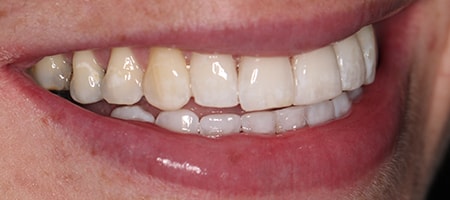
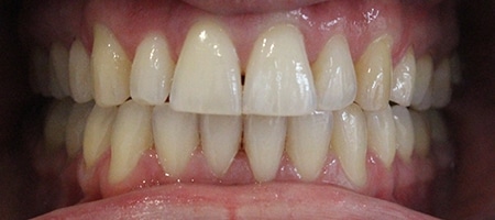
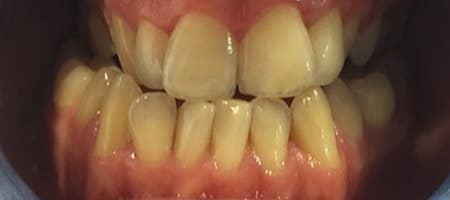
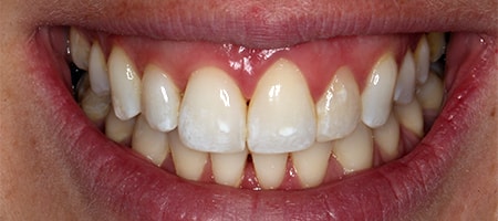
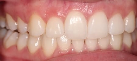
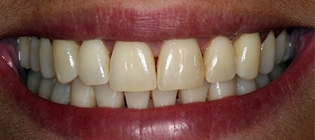
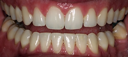
Before & After
Braces Smile Gallery
Wokingham
As Featured On
Before and After Braces Treatment
A picture paints a thousand words. Below are examples of smile makeover examples from simply whitening teeth, using Invisalign clear braces or full smile makeovers using veneers, crowns and implants.
Spacing or Gaps
























Crossbite








Overjet




Open Bite








Under Bite




















































































































